«  2018年3月 1 2 3 4 5 6 7 8 9 10 11 12 13 14 15 16 17 18 19 20 21 22 23 24 25 26 27 28 29 30 31

« ホワイトニング | メイン | ホワイトニング症例4 »

2015年9月29日

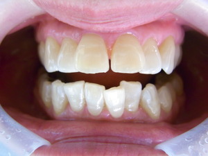
RIMG0462.JPG術前

RIMG0464.JPG術後

ホワイトニングの症例写真です。
患者様に白くなられた事をとても喜んでいただけました。
これからも症例写真を更新していきます。

ただいまキャンペーン中で、オフィスホワイトニング2回で10,000円(税抜)です。いかがでしょうか?
薬の保存期限があるので、来院されてからの薬剤注文となります。ご了承ください。

トラックバック

このエントリーのトラックバックURL:
https://www.kakegawa-dental.jp/cgi/mt/mt-tb.cgi/455

Categories

  • カテゴリー1
Powered by
本サイトにて表現されるものすべての著作権は、当クリニックが保有もしくは管理しております。本サイトに接続した方は、著作権法で定める非営利目的で使用する場合に限り、当クリニックの著作権表示を付すことを条件に、これを複製することができます。

掛川歯科医院 院長 掛川達彦 掛川歯科医院
http://www.kakegawa-dental.jp/
院長 掛川達彦

当院はの紹介を簡単にさせていただきます。
当院は東武東上線「上福岡」駅から徒歩3分の位置にございます。昭和63年に開業して以来、 今日まで地域の皆様方の歯の健康に従事してまいりました。

得意分野はインプラント治療、審美歯科治療、歯周病治療です。患者さまに、より安心してご来院いただくために、常日頃からインフォームド・コンセント(納得診療)を考慮した十分な情報と説明を行った上での診療を意識しております。

セカンドオピニオンとしての相談も承りますので、歯の治療でお悩みの方は、気兼ねなくご来院ください。できる限りのお力添えをさせていただきます。

今後共、よろしくお願いいたします。