«  2018年3月 1 2 3 4 5 6 7 8 9 10 11 12 13 14 15 16 17 18 19 20 21 22 23 24 25 26 27 28 29 30 31

« 口腔ケアについて | メイン | 審美歯科(修復編) »

2015年4月18日

今回のブログはホワイトニングについて書いてみました。
人の顔のイメージは口元が非常に影響していると言われています。
それは人と話をする時の目線は目をじーと見るより、多少下を見ているからです。
笑顔が素敵な人は歯も白く輝いて、相手に好印象を抱いてもらえますね。

その美しい笑顔をつくりだす歯をより白く輝かせる事が審美歯科治療です。

当院の審美歯科治療プログラムは
ホワイトニング
審美修復(白い被せ物、白い詰め物) から構成されています。


本日はホワイトニングについてお話します
簡便に歯を白くなさりたい方にはホワイトニングが良いと思います
歯に薬剤を塗布して歯を漂白する治療方法で、当院では安全性の高い薬剤からまず行わせていただき、より白くなる薬剤へとステップアップしていきます。

歯の知覚感受性は人によってさまざまなので、いきなり強い薬剤を使用すると、歯がシミテしまう方がいます。
ですから当院では低濃度の薬剤から徐々に上げて行く安全性の高い方法を取っています。

ホワイトニングの 後は色の濃い飲食は控えていただいた方が色が維持できます。
例えば、コーヒーやカレーライスなどです。
ホワイトニングをしたからと言って、一生歯が白くなっている事はなく、時間の経過と共に徐々に色があせてきます。
特に色の濃い飲食を多くとられる方は早く戻る傾向があります 。

この色の戻りを防ぐ方法として、家でのホワイトニング(ホームホワイトニング)と言う方法が有ります。

1 当院でマウスピースを作ります。
2 マウスピースの内面にホームホワイトニング用の薬剤をいれます。
3 30分から1時間マウスピースを装着します
4 口をすすぎます
以上の簡単な、どなたにも出来る方法です。
このホームホワイトニングで白さが維持できますので、歯科医院でのホワイトニングとの両立して行けば白い歯が保たれます。

当院でホワイトニングを希望される方は、ご来院いただければ短時間で治療出来ますので、歯のエステ感覚で気軽にいらして下さい。

お試し価格は2000円で今なら行なっております。ぜひあなたの歯も白く輝かせて見ませんか!

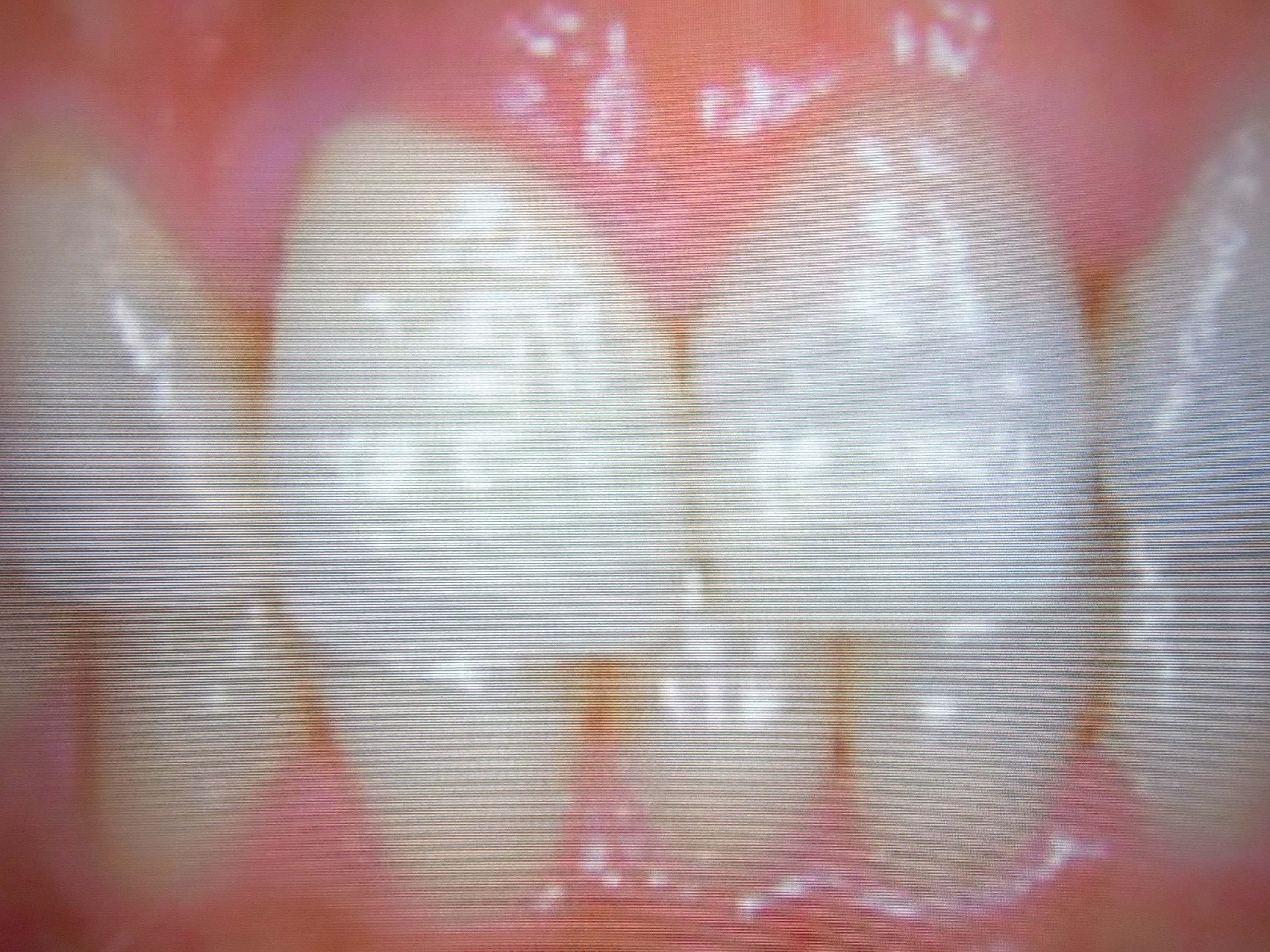
RIMG0223.JPG
ホワイトニング(術前)

RIMG0224.JPG
ホワイトニング(術後)


トラックバック

このエントリーのトラックバックURL:
https://www.kakegawa-dental.jp/cgi/mt/mt-tb.cgi/431

Categories

  • カテゴリー1
Powered by
本サイトにて表現されるものすべての著作権は、当クリニックが保有もしくは管理しております。本サイトに接続した方は、著作権法で定める非営利目的で使用する場合に限り、当クリニックの著作権表示を付すことを条件に、これを複製することができます。

掛川歯科医院 院長 掛川達彦 掛川歯科医院
http://www.kakegawa-dental.jp/
院長 掛川達彦

当院はの紹介を簡単にさせていただきます。
当院は東武東上線「上福岡」駅から徒歩3分の位置にございます。昭和63年に開業して以来、 今日まで地域の皆様方の歯の健康に従事してまいりました。

得意分野はインプラント治療、審美歯科治療、歯周病治療です。患者さまに、より安心してご来院いただくために、常日頃からインフォームド・コンセント(納得診療)を考慮した十分な情報と説明を行った上での診療を意識しております。

セカンドオピニオンとしての相談も承りますので、歯の治療でお悩みの方は、気兼ねなくご来院ください。できる限りのお力添えをさせていただきます。

今後共、よろしくお願いいたします。