ホワイトニング症例2
ふじみ野・上福岡の歯医者|掛川歯科医院
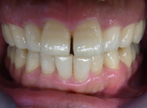
ホワイトニング症例2
治療前
治療1回目
治療2回目
・内容
オフィスホワイトニングで2回行った症例
・期間
2週間
・料金
¥20,000円
まずはご相談ください
当院の治療理念
最良の治療を選択するために
当院の強み
セカンドオピニオン対応
話はよく聞き、説明は詳しく
口臭対策
痛みの少ない治療
治療について
歯科一般(虫歯治療・根管治療)
歯周病治療
小児歯科
インプラント
矯正歯科
審美歯科/ホワイトニング
予防歯科
入れ歯治療
歯科口腔外科
顎関節症治療
レーザー治療
治療例
料金表
医療費控除
医院について
院長あいさつ
スタッフ紹介
院内ツアー
アクセス・診療時間
求人情報
施設基準
プライバシーポリシー
サイトマップ
24時間オンライン予約
ホーム
院長あいさつ
院内ツアー
治療例
料金表
アクセス・診療時間
TOP
治療について
治療例
ホワイトニング症例2